Low-cost and portable imaging

Neuroimaging
Low-cost and portable imaging

Brain imaging is a key tool in understanding the causes and development of psychiatric and neurological disorders.

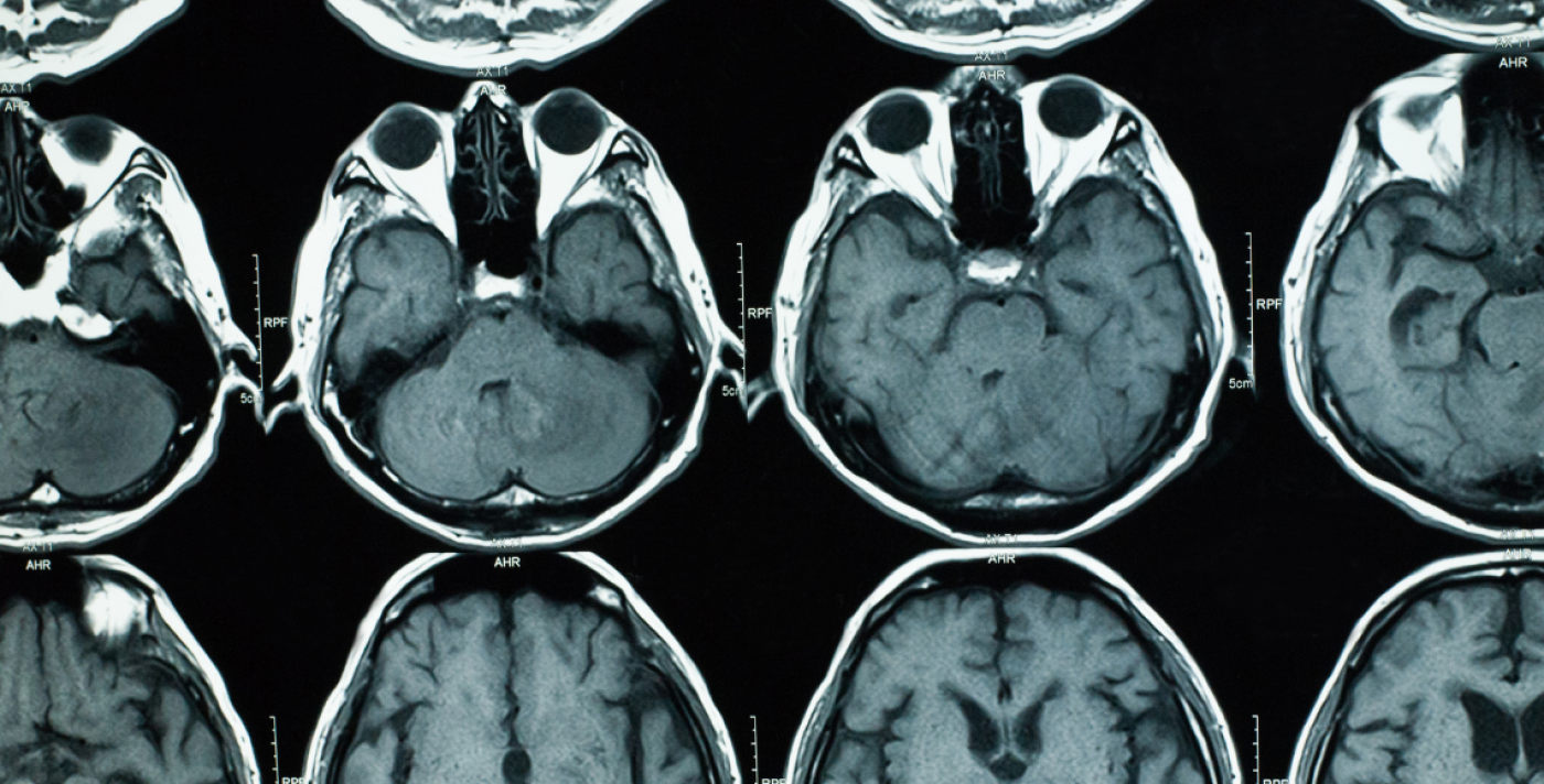
Magnetic resonance (MR) is the most widely applied brain imaging technique. However, scanners are expensive (about £3 million for the machine) and require highly engineered buildings with appropriate magnetic shielding and expensive maintenance to cool the scanner hardware.

Therefore, we have limited capacity to make this technology accessible to all NHS patients who could benefit from it such as surgical patients and new-born babies in maternal units, and studies happen in a small number of centres of excellence. Many studies involving imaging do not have an adequate number of participants and many patients do not get the opportunity to take part in MR research.

Low cost imaging to improve accessibility

We are part of a collaboration that are developing novel, low-cost MR imaging technology developed by biotech company Hyperfine, to improve accessibility and enable more widespread scanning. The new MR scanner uses an ultra-low magnetic field and is far less costly (about £50k).The scanner is portable (moves on wheels) and does not require specialist installation or power supply. Led by King’s Health Partners, the project has been supported by the National Institute for Health and Care Research Maudsley Biomedical Research Centre and the Bill and Melinda Gates Foundation. King’s College London has been awarded grants to install 10 machines across low- and middle-income countries in Africa and Asia, and to assess the validity of the images for diagnostic use.

Future validation of technology

Our Biomedical Research Centre will support the validation of this technology. In order to ensure that ultra-low field is valid and reliable, we are using advanced artificial intelligence (AI) methods to improve image quality and calibrate the images against gold-standard high-field imaging. These AI methods are built on large databases of scans and models of brain structure. So far however this low-field scanner has only been tested on scans of healthy brains.

Watch a video about the low-cost MRI imaging technology (at 16:13 mins):

To make this low-cost technology clinically useful, we will harness the large datasets that already exist within the Biomedical Research Centre (representing multiple disorders and pathologies) and data from our NHS partner hospitals and show that the images produced are powerful enough to identify pathology and are valid and clinically reliable. We aim to develop these analysis techniques by adopting advanced statistical methods which have been tested in clinical groups.

Our methodologies will be made available within our NHS partners’ AI platforms and will be made publicly available for use in low-middle income countries.