Research by experts at King’s College London and Evelina London Children’s Hospital has found major advances for detecting brain conditions in babies using portable MRI scanners.
Testing newborn babies with suspected brain abnormalities could become more accessible and more affordable for health care settings around the world, thanks to the pioneering study, supported by NIHR, published today in The Lancet’s eClinicalMedicine journal.
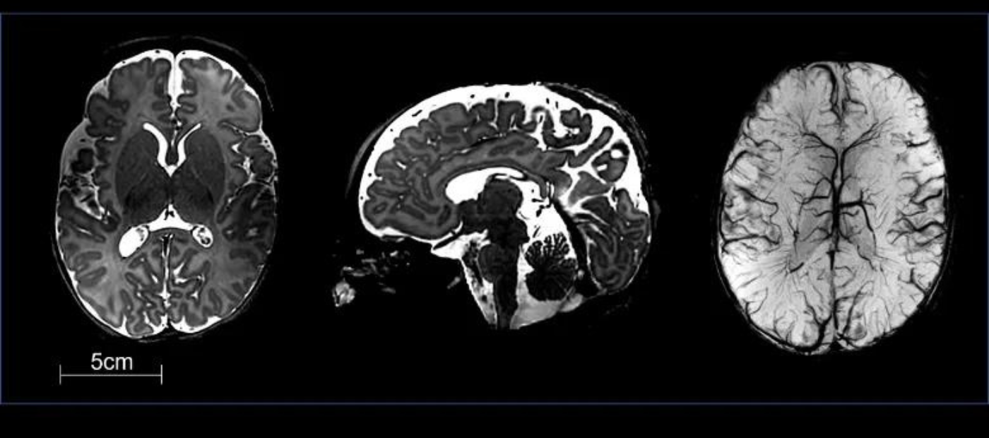
Experts developed new ‘ultra-low field’ MRI sequences that allow portable MRI scanners to test babies at their cot-side or in intensive care units, without having to move them for conventional imaging when critically sick.
The state-of-the-art Evelina Newborn Imaging Centre has become the first site in Europe to undertake paediatric brain imaging using a portable MRI scanner.
Researchers conducted more than 100 paired scans at the Evelina Newborn Imaging Centre, part of Guy’s and St Thomas’ NHS Foundation Trust, comparing brain images acquired with the new portable MRI with those acquired using a traditional fixed MRI scanner.
Results found that the optimised portable MRI scanner could effectively detect both normal brain anatomy, as well as a wide range of clinically important abnormalities with sufficient contrast, signal, and detail.
Developing new imaging protocols
While portable MRI scanners are a new technology with significant potential, their use has been largely restricted to bedside adult brain imaging. Due to significant differences in infant brain composition, adult imaging protocols had led to poor results in babies who had been scanned.
For this study, researchers developed new imaging protocols which can now be used and tested around the world, with sites already starting in Germany and South Africa.

Portable MRI scanners (as pictured) could be used to test babies at their cot-side
‘Portable scanners could democratise access to brain imaging’
Dr Paul Cawley lead author for the study and consultant neonatologist at Evelina London Children’s Hospital and King’s College London“This study is a much needed first step in establishing the potential of portable MRI scans for newborn babies. MRI is critical for diagnosing and deciding the best course of treatment for infants with suspected brain abnormalities.
“However, over half the world’s population have severely limited or no access to MRI facilities. Even within highly resourced healthcare settings, transporting vulnerable infants needing intensive care to radiology departments for their scans can be challenging. Portable scanners could democratise access to brain imaging and offer many novel solutions to these challenges.
“Portable MRI scanners are much less expensive to produce and are deployable directly within ward or clinical settings, which could enable more healthcare providers to scan babies and children – especially those that have no access or very limited access to static MRI scanners.”
Evelina London Children’s Hospital is one of only two purpose-built, dedicated, children’s hospitals in London, and has 24/7 access to imaging.
MRI scans are widely recognised as complex, expensive and often not available outside advanced medical facilities. As a result, access to MRI is 140-fold less in low-income countries compared with high-income countries, and there remain countries for which there is still no access to MRI at all.
UNITY Project objectives in Africa and South Asia
As contributory members of the UNITY Project, these new MRI sequences can be used to enable portable MRI imaging for babies in UNITY Project objectives in Africa and South Asia.
Professor Steve Williams Professor of Neuroimaging at King’s College London and Principal Investigator for the UNITY Project, supported by NIHR Maudsley BRC“This pioneering study is very important for our Bill & Melinda Gates Foundation UNITY project. We have shown that our portable Hyperfine MRI can visualise brain health and pathology in the baby. These results will inform our planned studies and new treatments of malnutrition, infection and birth complications across sub-Saharan Africa and South-East Asia.”
The UNITY project, a Bill & Melinda Gates Foundation funded global initiative, is a consortium of world leading researchers collaborating to enhance the study of environmental factors and potential therapeutic interventions affecting early brain development – focusing study within Sub-Saharan Africa and South Asia.
Links and downloads
Read more about the Hyperfine MRI scanner here.
Development of neonatal-specific sequences for portable ultralow field magnetic resonance brain imaging: a prospective, single-centre, cohort study was published in The Lancet eClinical Medicine Journal.